Введение. Опухоли почечной паренхимы — распространенные новообразования верхних мочевыводящих путей, требующие оперативного лечения [1]. По темпам прироста злокачественные новообразования паренхимы почки занимают третье место, уступая раку кожи и раку предстательной железы. Прирост показателя заболеваемости раком почки в Российской Федерации составил 31,4 % [2].
До определенного момента «золотым» стандартом лечения злокачественных опухолей почки была радикальная нефрэктомия [3]. Совершенствование хирургической техники удаления новообразований паренхимы почки показало, что при наличии технической возможности выполнение резекции почки по онкологическим результатам не уступает радикальной нефрэктомии [4, 5]. При этом проведение органосохраняющей операции при лечении новообразований почечной паренхимы позволяет снижать риск развития почечной недостаточности в отдаленном послеоперационном периоде [6].
Цель исследования: изучить в эксперименте способ выполнения резекции почки с применением проленового сетчатого имплантата средней жесткости и обосновать возможность дальнейшего применения данного способа резекции почки в клинической практике.
Материал и методы. Экспериментальное исследование проведено на моделях свиней. В исследование включено 50 лабораторных животных.
Условия эксперимента соответствовали Международным требованиям к проведению научных исследований с участием живых организмов (приказ Министерства здравоохранения СССР «Об утверждении Правил проведения работ с использованием экспериментальных животных» № 742 от 13.11.1984; приказ Министерства здравоохранения СССР «Санитарные правила по устройству, оборудованию и содержанию экспериментально-биологических клиник (вивариев)»№ 1045-73 от 06.04.1973; Федеральный закон «О животном мире» № 52-ФЗ от 24.04.1995 (ред. от 07.05.2013).
На лабораторных животных моделировали операцию резекции почки. Выполняли резекцию 1,5 см здоровой паренхимы нижнего полюса почки, сторону резекции в учет не брали и выбирали случайно. В 25 случаях резекция почки проведена по классической методике ушивания дефекта паренхимы почки с применением П-образных гемостатических швов нитью Викрил 1 (группа сравнения). В остальных 25 случаях резекцию почки выполняли по авторской методике ушивания дефекта паренхимы почки с применением полипропиленового сетчатого имплантата (основная группа).
Полипропиленовая сетка подготавливалась непосредственно во время операции следующим образом: из стандартной заводской полипропиленовой сетки вырезался прямоугольник 2 см шириной и длиной, равной длине раны +1 см, полученную сетку складывали вдвойне и обшивали сближенные края отдельными узловыми швами через 0,5 см проленовой нитью 3/0, аналогичным образом подготавливали вторую сетку.

Способ резекции осуществлялся следующим образом. При выявлении дефекта паренхиматозного органа при его повреждении или при резекционных методиках на паренхиматозных органах и нефротомии накладывали полипропиленовые сетки по краям раны паренхиматозного органа (рис. 1). Все видимые выступающие сосуды и вскрытая полостная система почки прошивались и перевязывались викрилом № 3/0. Атравматической иглой с нитью 3/0 фиксировали П-образными швами две полипропиленовые сетки, располагающиеся на противоположных сторонах раны. Для этого вначале игла проводилась в 7 мм от края раны снаружи внутрь через полипропиленовую сетку, фиброзную капсулу почки, всю толщу паренхимы почки и с выколом иглы в ложе раны. Затем игла проводилась из дна раны почки через всю паренхиму противоположного края раны с выколом иглы в 7 мм от края раны сквозь фиброзную капсулу почки и полипропиленовую сетку уложенную по краю раны. Накладывались П-образные гемостатические швы по всей длине раны с интервалом между швами 7–10 мм (рис. 2А). Сближали края раны путем затягивания П-образных швов до прекращения кровотечения. Затем сближенные края сетки обшивали отдельными узловыми швами через 1 см проленовой нитью 3/0 (рис. 2Б).
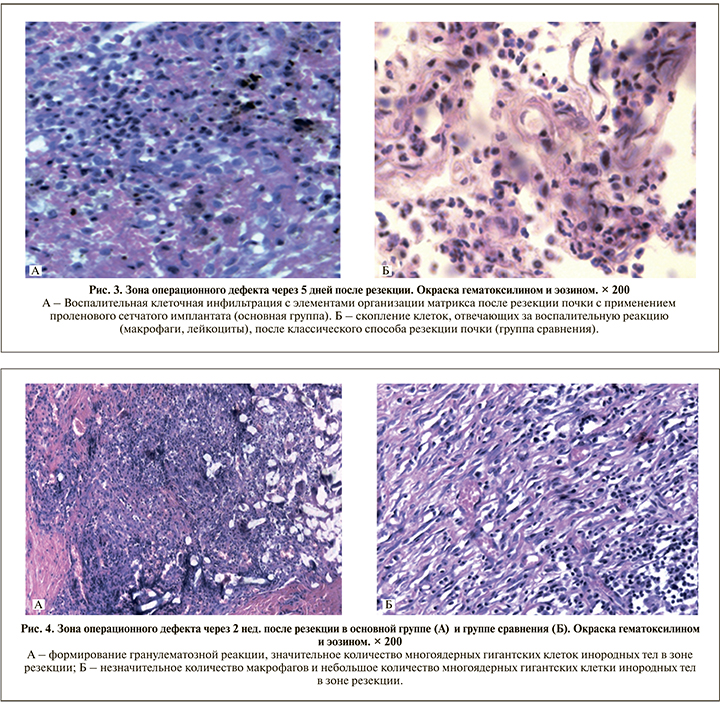
Фиксировали продолжительность операции. В дальнейшем животных выводили из исследования в различные сроки после операции: через 5 дней, 2 нед., 30 сут., 60 сут., мес. Оценивали вес послеоперационного рубца (нарезку препарата осуществляли по визуально определяемой зоне формирования рубца относительно визуально неизмененной паренхимы почки). Препарат фиксировался в 10%-ном растворе формалина в течение 3 сут., затем проводилась окраска препарата. Использовались методики окраски гемотаксилин-эозином и по Ван-Гизону. Проводили патогистологическое исследование зоны резекции почки и сравнительный анализ эффективности резекции почки с учетом патогистологической картины.
Статистическая обработка полученных данных проводилась с применением программы Microsoft Excel.
Результаты. Среднее время операции в группе сравнения составило 51,3±4,1 мин, в основной группе – 54,4±3,8 (p<0,05), средний вес послеоперационного рубца зоны резекции почки – 7,1±0,7 и 5,4±0,4 г соответственно (p<0,05).
Патогистологическая картина зоны послеоперационного рубца в зависимости от методики резекции почки и времени после операции представлена на рис. 3–7.



Обсуждение. Среднее время операции в группе лабораторных животных, оперированных с применением проленового сетчатого имплантата, оказалось на 3,1 мин (5,7%) больше. Существенного значения в незначительной пролонгации времени операции для дальнейшей интерпретации результатов исследования не выявлено.
Меньшая (в среднем на 1,7 г [27 %]) масса послеоперационного рубца в группе животных, оперированных по авторской методике гемостаза зоны резекции почки, объясняется свойствами проленовой сетки, имеющей значительное преимущество в прочности относительно капсулы почки. В связи с этим при использовании проленового имплантата имеется техническая возможность прошивания паренхимы почки максимально близко к зоне резекции органа без риска прорезывания гемостатических швов.
Результаты патоморфологического исследования зоны резекции почки свидетельствуют о формировании вокруг проленового имплантата прочной соединительнотканной структуры по типу заплаты в виде тяжей плотной грануляционной ткани, окруженной гранулемами инородного тела. Выявленные патогистологические изменения зоны резекции почки свидетельствуют о надежности гемостаза в зоне операционного дефекта, что может минимизировать риски послеоперационных осложнений при выполнении резекции почки.
Заключение. Применение проленового имплантата при выполнении резекции почки служит надежным способом гемостаза зоны послеоперационного дефекта, который позволяет минимизировать рубцовые изменения почечной паренхимы без значимой пролонгации операции. По результатам проведенного экспериментального исследования получен патент на изобретение № 2606181.



