Мезенхимальные опухоли предстательной железы (ПЖ) при гистологическом исследовании встречаются редко. Их диагностика затруднена ввиду небольшого опыта как у патологоанатомов, так и у урологов. В литературе по этой теме имеется не более 100 публикаций. В настоящее время отсутствует структурированная информация по этиологии, патогенезу, диагностике и тактике лечения мезенхимальных опухолей. Согласно классификации ВОЗ (2016) опухолей ПЖ, в раздел мезенхимальных опухолей включено 14 типов: стромальная опухоль с неопределенным потенциалом злокачественности (ICD-O код 8935/1); стромальная саркома (ICD-O код 8935/3); лейомиосаркома (ICD-O код 8890/3); рабдомиосаркома (ICD-O код 8900/3); лейомиома (ICD-O код 8890/0); ангиосаркома (ICD-O код 9120/3); синовиальная саркома (ICD-O код 9040/3); воспалительная миофибробластическая опухоль (ICD-O код 8825/1); остеосаркома (ICD-O код 9180/3); недифференцированная плеоморфная саркома (ICD-O код 8802/3); солитарная фиброзная опухоль (ICD-O код 8815/1); злокачественная солитарная фиброзная опухоль (ICD-O код 8815/3); гемангиома (ICD-O код 9120/0); зернистоклеточная опухоль (ICD-O код 9580/0). Окончательная верификация проводится по результатам иммуногистохимического (ИГХ) исследования с использованием антител к виментину, десмину, общему и гладкомышечному актинам, миогенину, рецепторам эстрогена и прогестерона. Немаловажное значение имеет тот факт, что мезенхимальные опухоли могут быть как доброкачественные, так и злокачественные [1].
По данным ряда авторов [2–4], стромальная опухоль ПЖ неопределенного потенциала злокачественности (ICD-O код 8935/1) относится к образованиям с благоприятным прогнозом. Однако M. Herawi и соавт. [5], проведя анализ 50 пациентов, сообщили о случаях сочетания стромальной опухоли неопределенного потенциала злокачественности с саркомой и прогрессии стромальной опухоли в саркому.
Стромальная саркома (ICD-O код 8935/3) характеризуется более агрессивным течением. Она развивается из мезодермы в репродуктивном тракте. Факторы риска могут быть связаны с простатитом, травмой промежности, предшествующей биопсией ПЖ и облучением. Наиболее частый вид сарком – рабдомиосаркома – отличается более высокой степенью злокачественности и является наиболее распространенным гистологическим подтипом; у детей около 40% сарком ПЖ являются рабдомиосаркомами. Вторым по частоте подтипом являются леймиосаркомы, на долю которых приходится почти 25% сарком. В основном они возникают у пожилых людей и имеют несколько меньшую степень злокачественности [6].
Гистологическая картина стромальных опухолей характеризуется повышенной клеточностью с наличием клеточной атипии. В клетках опухоли определяется увеличение ядра с наличием гиперхромазии, также возможна мультинуклеация. Окончательный диагноз устанавливается на основании результатов ИГХ-исследования. Иммуногистохимически стромальные опухоли ПЖ обычно демонстрируют экспрессию CD34 и рецептора прогестерона [7].
Ввиду редкой встречаемости стромальной опухоли ПЖ неопределенного потенциала злокачественности, трудностей ее диагностики и отсутствия рекомендуемого алгоритма лечения представляем наш клинический опыт удаления стромальной опухоли лапароскопическим методом с сохранением ПЖ.
Пациент У. 62 лет поступил в урологическое отделение клиники ФГБОУ ВО СибГМУ Минздрава России (Томск) в плановом порядке в ноябре 2021 г. для выполнения биопсии ПЖ. На момент осмотра пациент предъявлял жалобы на частое мочеиспускание, ноктурию до 4 раз в сутки. Перечисленные жалобы беспокоили длительное время (3–4 года). Обратился к урологу поликлиники, где было проведено обследование: ПСА крови, ТРУЗИ ПЖ, МРТ органов малого таза с контрастированием, после чего с результатами обследования поступил для выполнения биопсии ПЖ. При поступлении: ПСА 11,9 нг/мл. По данным ТРУЗИ, объем ПЖ составил 94 см3, из левой боковой доли исходит образование, располагающееся между основанием ПЖ и шейкой мочевого пузыря, с одной стороны, и прямой кишкой, с другой. Образование размером 60×43 мм с множественными жидкостными включениями, максимально до 12×10 мм, с локусами повышенного кровотока в режиме ЦДК. По результатам МРТ в транзиторной зоне левой доли ПЖ определялось кистозно-солидное образование овоидной формы размером 58×52×50 мм, с участками кистозной перестройки и кровоизлияния; в левых отделах образования визуализировался участок гомогенного, умеренно сниженного МР-сигнала неправильной формы, с признаками ограничения диффузии и диффузного накопления контрастного препарата, без признаков экстракапсулярной экстензии (PIRADS 4) (рис. 1). Под контролем УЗИ 09.11.2021 выполнена промежностная мультифокальная и прицельная биопсия ПЖ. Было взято по шесть фрагментов из обеих долей, а также два фрагмента из новообразования в левой доле. Результаты гистологического исследования: узловая гиперплазия ПЖ, железисто-гладкомышечный вариант. Хронический простатит, фиброз стромы. Атрофия части ацинарных структур.

В конце ноября 2021 г. в плановом порядке пациент поступил для проведения повторной биопсии ПЖ в связи с сохраняющимся высоким уровнем ПСА – 10,3 нг/мл. Под ультразвуковым контролем 01.12.2021 проведена повторная промежностная мультифокальная и прицельная биопсия ПЖ: взято по 3 фрагмента из правой и левой долей, из объемного образования в левой доле подозрительного на ЗНО взято 6 фрагментов. По результатам ИГХ-исследования: стромальная гладкомышечная опухоль неопределенного потенциала (STUMP) злокачественности ПЖ (ICD-Ocode 8935/1).
В январе 2022 г. пациент поступил для планового оперативного вмешательства. В связи с подтверждением стромальной опухоли неопределенного потенциала злокачественности, экстраорганным типом роста, отсутствием четких клинических рекомендаций по оперативному лечению, исходя из данных литературы о более благоприятном прогнозе, чем у сарком, принято решение о сохранении ПЖ и удалении новообразования экстраперитонеоскопическим методом.
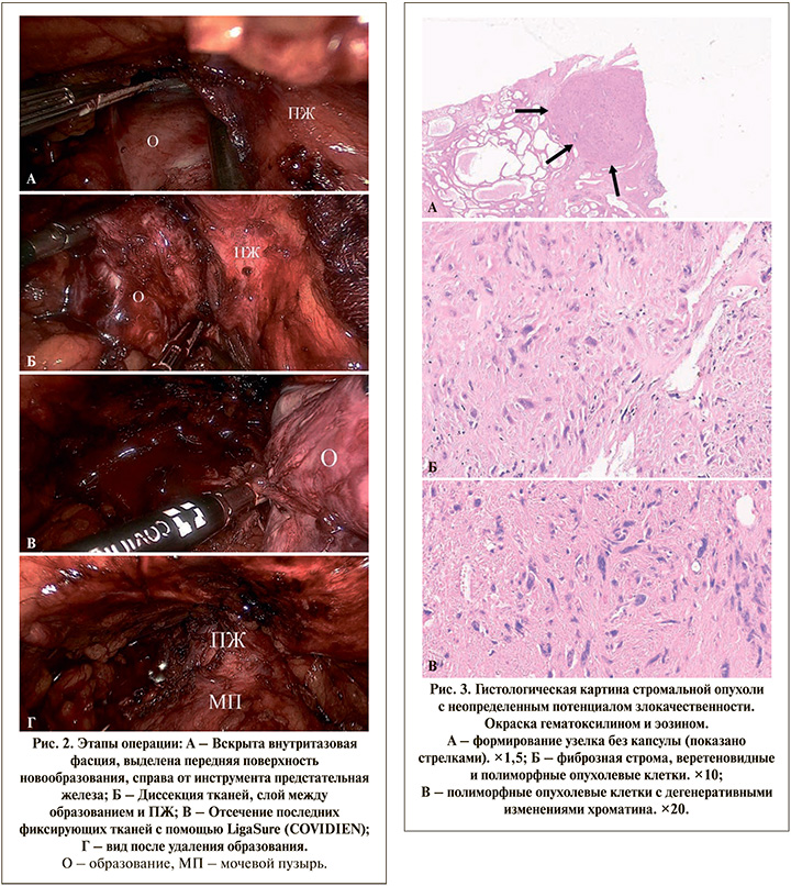
Ход операции. Под эндотрахеальным наркозом ниже пупка выполнен разрез кожи, апоневроза, мышцы тупо разведены, и предбрюшинно методом дигитальной диссекции создана полость, под контролем пальца справа от оптического доступа установлен троакар 5 мм. В оптический порт введен троакар 10 мм, герметизирован и фиксирован кожным швом. Налажена инсуфляция СО2, введен лапароскоп 30o. Затем слева установлен рабочий троакар 5 мм по диссектору у подвздошной кости, параректально слева установлен правый рабочий порт 10 мм. Выделена передняя поверхность предстательной железы, выполнена дефатизация. Диссекция продолжена на левую боковую поверхность, вскрыта внутритазовая фасция, продолжена мобилизация по левой боковой поверхности образования. Вскрыта капсула ПЖ у новообразования. Далее открылся нужный слой и постепенно продолжена циркулярная диссекция/энуклеация образования из капсулы тупым и острым путем с точечной коагуляцией сосудов. Образование расположено в левой доле, распространяется под мочевой пузырь внеорганно из ПЖ. Образование захвачено зажимом, продолжено его отделение от капсулы, тупым путем мобилизовано образование без ранения рядом расположенных органов. Образование удалено. Точечный гемостаз в ложе. В прямую кишку веден шприц Жане, проведен «bubble test»: ранения прямой кишки нет. Препарат удален через расширенный 10 мм оптический троакар. Дренаж к месту операции. Троакары удалены. Наложены швы на рану (рис. 2). Кровопотеря не более 200 мл. Макроскопически: на разрезе ткань белесого цвета по типу аденоматозной ткани с включениями кист и кровоизлияний.

При гистологическом исследовании образование ПЖ представлено стромальной опухолью с неопределенным потенциалом злокачественности (рис. 3). Для уточнения диагноза проведено ИГХ-исследование. Заключение: стромальная гладкомышечная опухоль неопределенного потенциала (STUMP) злокачественности ПЖ (ICD-Ocode 8935/1).
Послеоперационный период протекал без осложнений, уретральный катетер удален в 1-е сутки после операции, дренаж – на вторые сутки. Самостоятельное мочеиспускание восстановлено. Пациент выписан под наблюдение врача поликлиники по месту жительства.
Через 3 мес. после оперативного вмешательства проведено контрольное обследование. Содержание ПСА в крови снизилось до 0,88 нг/мл. При МРТ органов малого таза с контрастным усилением объем ПЖ составил 33 см3, выявлены признаки послеоперационных фиброзных изменений и признаки гиперплазии переходной зоны ПЖ, отсутствовали данные за прогрессирование заболевания (рис. 4). Симптомов дизурии не было.

Представленный клинический пример сохранения ПЖ при удалении стромальной опухоли ПЖ неопределенного потенциала злокачественности демонстрирует возможность выполнения органосохраняющей операции пациентам с таким редким заболеванием. Но в связи с небольшим количеством публикаций и малым сроком наблюдения данные типы опухолей требуют дальнейшего изучения и оценки отдаленных результатов.



